
"Porque sonreír no es una obligación, es una decisión inteligente para vivir mejor"
Secuencia de un tratamiento de conducto con proceso periapical (infección en la punta de la raiz) visto radiograficamente, y posterior control a los 3 meses, de una paciente que estaba siendo preparada para un tratamiento de Ortodoncia.
Paciente en que se realizó un tratamiento completo de rehabilitación oral, es decir un tratamiento odontologico integral, blanqueamiento, prótesis, estética, etc. Demostrando su gratitud y satisfacción en este video con una felicitación
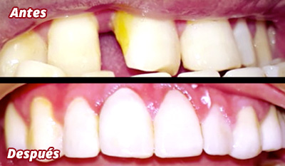
Diastema es un tratamiento estético minimamente invasivo, realizado con resinas compuestas
| Lunes | 09:00 a 18:00 |
|---|---|
| Martes | 09:00 a 18:00 |
| Miercoles | 09:00 a 18:00 |
| Jueves | 09:00 a 18:00 |
| Viernes | 09:00 a 18:00 |
| Sábado | 09:00 a 12:00 |
Contamos con consultorios equipados con lo último en tecnología.